最新消息
【雙眼皮+自體脂肪移植】Daisy的完美變身日記-術前諮詢篇
輕熟女的醫美初體驗
在親戚的推薦介紹下,從來沒有過任何醫美整形經驗的Daisy,
第一次踏進南陽診所。
鄧醫師親自為Daisy諮詢解惑,了解她的需求。

Daisy說她一直渴望擁有一雙水亮又有神的眼睛,
幾年前就有考慮過雙眼皮手術,但是因為怕痛、怕手術失敗等因素
讓她遲遲無法下定決心,變美的心願才會一延再延。
眼部整形屬於相當精細的手術,
術前需要許多評估步驟,缺一不可且不容馬虎:
①拍攝術前照片

↑清晰記錄客人術前原先的面貌,確實抓準角度拍攝。
②測量眼皮周圍的高度(含睜眼及閉眼)

↑需要確實精準測量,明確記錄客人的先天條件並量化之。

↑測量並拍照,在病歷上記下準確的毫米數。
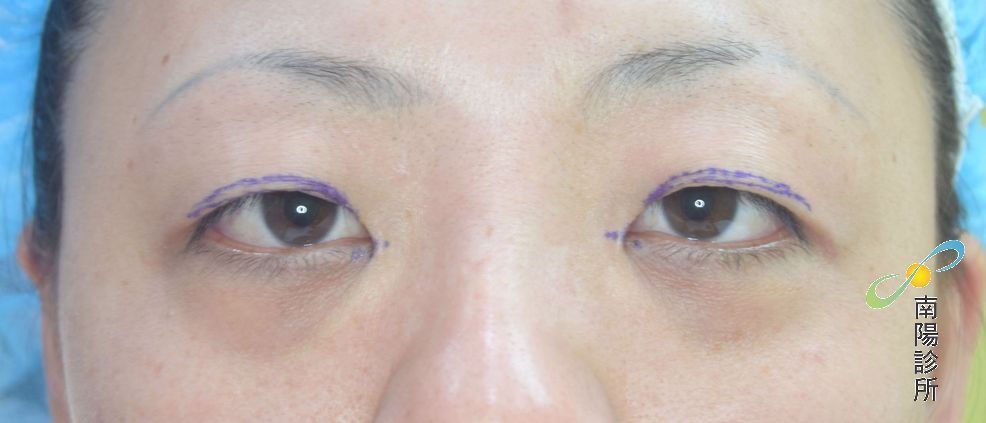
③使用外科手術專用畫線筆,在眼皮整形部位畫上記號

↑畫記號以利醫師手術中精確掌握下刀位置

↑標記雙眼皮摺痕位置與欲修補之眼皮幅度
經過上述審慎的評估步驟後,我們即將開始今天的重頭戲
Daisy要開始蛻變的這一天、這一刻終於到來了!
由於Daisy本身屬於眼皮脂肪較厚的類型(俗稱泡泡眼),
加上她有上眼皮鬆弛的情形,
因此無法單靠一般的釘書機縫雙眼皮手術改善,
想要達到她期望的圓圓大眼、有神效果,
必須要做割雙眼皮手術,
並修掉小部分鬆弛下垂的眼皮再加以縫合。
除此之外為了增加眼神的魅力與縮短左右眼距
使眼神有更集中的效果,Daisy選擇一起做開眼頭手術
另外,想改善肌膚老化、皮下脂肪萎縮、補充膠原蛋白流失
還要搭配「全臉自體脂肪移植手術」,萃取品質良好的脂肪細胞
將其填補至皮下,刺激膠原蛋白增生,
使本來凹陷的部位如淚溝、法令紋、夫妻宮等變得平滑,視覺呈現自然豐盈效果。

此次我們要做的手術項目如下↓
明眸亮眼★割雙眼皮+開眼頭+鬆弛眼皮修補手術&豐盈填補★全臉自體脂肪移植手術
(以上手術皆於同一天內完成,全程採靜脈舒眠麻醉,不需插管)
向Daisy說明手術與靜脈舒眠麻醉相關事項後,填妥同意書
準備帶她進入手術室囉!
點此觀看續集→揭曉手術中的實境情形以及術前術後對比照!
免責聲明:
.本站提供之案例照片均為當事人親身體驗,任何療程效果與復原時間會因個人體質與術後保養而異。
.案例照片均經當事人同意刊載露出,並簽署授權同意書。

